Прыщи на члене могут вызывать много беспокойства и страха у мужчин, но они часто являются обычной проблемой, которая может возникнуть по различным причинам. В этой статье мы рассмотрим все аспекты этого явления, включая причины появления прыщей, способы их предотвращения, а также лечение, которое может потребоваться в некоторых случаях.
Симптоматика и причины генитальных изменений
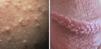
Прыщи на члене могут иметь различные формы и размеры. Они могут быть красными, белыми, черными или прозрачными. Некоторые прыщи могут быть болезненными, в то время как другие могут быть безболезненными и не вызывать дискомфорта. Они могут появляться как единичные высыпания или в виде крупных участков.
Причины появления прыщей на члене могут быть разнообразны. Это может быть связано с инфекцией, воспалением фолликулов волос, аллергической реакцией, гормональными изменениями, стрессом, неправильным уходом за кожей или даже сексуально передаваемыми инфекциями. Важно обратить внимание на сопутствующие симптомы, такие как зуд, жжение, отечность или выделения, чтобы определить возможные причины и обратиться за медицинской помощью при необходимости.
Причины воспаления: фактор локализации высыпаний
Факторы локализации высыпаний на члене могут быть разнообразными и зависят от многих факторов. Одним из основных факторов является гигиенический уход за половыми органами. Недостаточная гигиена может способствовать развитию воспалительных процессов, что может привести к появлению прыщей и других высыпаний.
Также важную роль играют индивидуальные особенности организма. Некоторые люди более склонны к различным видам высыпаний из-за наследственности или особенностей иммунной системы. Кроме того, некоторые заболевания, такие как диабет или аллергии, могут также влиять на появление высыпаний на члене.
Одним из распространенных факторов, способствующих воспалению и появлению прыщей на члене, является травма или раздражение кожи. Это может происходить при неправильном использовании средств личной гигиены, ношении тесного белья или при интенсивном трении при сексуальных контактах.
Таким образом, факторы локализации высыпаний на члене могут быть многообразными и зависят от индивидуальных особенностей организма, гигиенического ухода и воздействия внешних раздражителей.
Гнойнички на члене
Гнойнички на члене могут быть причиной беспокойства и дискомфорта у мужчин. Они обычно представляют собой маленькие пузырьки, наполненные гнойной жидкостью. Появление гнойничков на члене может быть связано с различными причинами, включая инфекции, воспаления фолликулов волос, а также другие состояния кожи.
Одной из наиболее распространенных причин появления гнойничков на члене является фолликулит, которая возникает из-за воспаления волосяных фолликулов. Это может происходить из-за микротравм, неправильного бритья или инфекции. Гнойнички также могут быть связаны с инфекциями, такими как герпес или генитальный герпес, которые вызывают воспаление и образование пузырьков на коже.
Важно отметить, что при появлении гнойничков на члене следует обратиться к врачу для получения профессиональной консультации и диагностики. Самолечение может усугубить проблему, поэтому важно получить медицинскую помощь для определения причины и назначения соответствующего лечения.
Лечение высыпаний на пенисе
Лечение высыпаний на пенисе может варьироваться в зависимости от их причины и характера. В большинстве случаев рекомендуется обратиться к врачу для точного диагноза и назначения соответствующего лечения. Врач может предложить различные методы лечения, включая местное применение мазей или кремов, принятие противовоспалительных препаратов или антибиотиков в случае инфекционного характера высыпаний. Важно помнить, что самолечение может усугубить проблему, поэтому необходимо следовать рекомендациям специалиста и не откладывать поход к врачу.
Заключение
После изучения всех аспектов прыщей на члене, можно сделать вывод, что в большинстве случаев они не представляют серьезной угрозы для здоровья. Однако, важно помнить, что любые изменения в гениталиях требуют внимания и в случае появления прыщей на члене следует обратиться к врачу для профессиональной консультации и диагностики. Не стоит пытаться самостоятельно лечить данное состояние, так как это может привести к ухудшению ситуации. Помните, что здоровье гениталий требует особого внимания и заботы, поэтому важно обращаться за помощью к специалистам в случае возникновения любых сомнений или проблем.
Частые вопросы
Каковы причины появления прыщей на члене?
Прыщи на члене могут появляться из-за различных причин, включая инфекции, аллергические реакции, неправильный уход за кожей или гормональные изменения.
Какие меры можно принять для предотвращения появления прыщей на члене?
Для предотвращения появления прыщей на члене рекомендуется поддерживать хорошую гигиену, избегать разд
Полезные советы
СОВЕТ №1
Не пытайтесь самостоятельно лечить прыщи на члене. Обратитесь к врачу для профессиональной консультации и лечения.
СОВЕТ №2
Избегайте переохлаждения и травмирования области с прыщами, чтобы избежать усугубления симптомов.
СОВЕТ №3
Следите за гигиеной интимной зоны, используя мягкие гипоаллергенные средства для ухода.




